Super User
Εγκεφαλική περιοχή «προβλέπει» ό,τι κάτι κακό πρόκειται να συμβεί
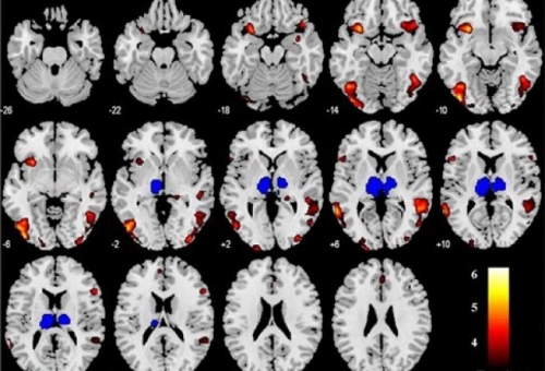
Βρετανοί ερευνητές υποστηρίζουν ότι ανακάλυψαν μια περιοχή του εγκεφάλου, που «πυροδοτεί» το ενστικτώδες αίσθημα στον άνθρωπο ό,τι κάτι κακό πρόκειται...
ΠΕΡΙΣΣΟΤΕΡΑ
Σύλληψη για κάνναβη στη Σπάρτη
Στα δίχτυα της αστυνομίας πιάστηκε, την Τετάρτη 30/7, ένας 23χρονος Έλληνας για παράβαση του νόμου περί ναρκωτικών.Ο 23χρονος συνελήφθη στη...
ΠΕΡΙΣΣΟΤΕΡΑ
30/07/2014
Γιορτή ελιάς-λαδιού στη Σελλασία: Άσκοπες δαπάνες δημοσίου χρήματος
Του Σταύρου Καλαβρυτινού
ΠΕΡΙΣΣΟΤΕΡΑ
«Σπάρτα-Δράμα» για τους αδικοχαμένους δασοπυροσβέστες
Δόξα και τιμή για δύο Σπαρτιάτες κομάντος
ΠΕΡΙΣΣΟΤΕΡΑ
30/07/2014
Δώστε ένα τέλος να αρμόζει…
Η επιχείρηση «χειρουργείο» στους δρόμους της Σπάρτης, που μετρούν ανοιχτές «πληγές», καλά κρατεί το τελευταίο διάστημα. Οι εργασίες για το...
ΠΕΡΙΣΣΟΤΕΡΑ
Βαρουφάκης: Χωρίς τρόικα μετά το… 2050
Στο περιθώριο της μεγάλης συζήτησης που βρίσκεται σε εξέλιξη για την αποχώρηση της τρόικας από την Ελλάδα, και... το τέλος...
ΠΕΡΙΣΣΟΤΕΡΑ
30/07/2014
30/07/2014

